徳永歯科

トップページ > 当院が選ばれる理由  > 症例紹介  >  インプラント治療

 

  インプラント治療 症例紹介


<インプラント治療 症例>
 
 症例 1 なくなった下の奥歯にインプラント治療をして咬めるようになったケース
 
 症例 2 インプラント治療によって隣の歯を削ることなく咬めるようになったケース
 
 症例 3 インプラント治療によって咬めるようになり、審美的にも改善したケース
 
 症例 4 上の奥歯がなくなった方にインプラント治療をサイナスリフトを併用して行ったケース

 
 症例 5 外傷によって失った上の前歯に対してインプラント治療を行ったケース
 
 症例 6 虫歯によって失った下の奥歯に対してインプラント治療を行ったケース
 
 症例 7 歯周病によって失った下の奥歯に対してインプラント治療を行ったケース
 
 症例 8 虫歯によって失った下の奥歯に対してインプラント治療を行ったケース
 
 症例 9 インプラント治療によって隣の歯を削ることなく審美回復したケース
 
 症例 10 下の奥歯に対してインプラント治療をして咬めるようになったケース
 
 症例 11 虫歯によって失った下の奥歯に対してインプラント治療を行ったケース
 
 症例 12 上の奥歯にインプラント治療をサイナスリフトを併用して行ったケース
 




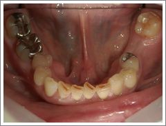
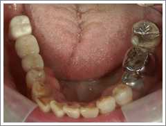
  症例 1 なくなった下の奥歯にインプラント治療をして咬めるようになったケース

 治療前                          
 

むし歯が大きく左下奥歯2本を抜かなければなりませんでした。奥歯がなくなった後は、インプラント治療を行うことによって奥歯でも自然に咬むことができるようになりました。 ( 50代 女性 )

この症例の詳細はこちら




  症例 2 インプラント治療によって隣の歯を削ることなく咬めるようになったケース

 治療前                           
 

歯の根っこが割れてしまい、左下奥から二番目の歯1本を抜かなければなりませんでした。奥歯がなくなった後は、インプラント治療を行うことによって奥歯を回復させました。 また、インプラントによって隣の歯を削ることなく治療することができました。 ( 60代 女性 )

この症例の詳細はこちら




  症例 3 インプラント治療によって咬めるようになり、審美的にも改善したケース

 治療前                           
   

むし歯によって失ってしまった左下の3本の奥歯にインプラント治療を行った症例です。 インプラント治療によってしっかりと咬むことができるようになり、前歯の部分も治療されたため審美的にも改善されました。 ( 50代 女性 )

この症例の詳細はこちら




  症例 4 上の奥歯がなくなった方にインプラント治療をサイナスリフトを併用して行ったケース

 治療前           
   

むし歯と歯の根っこの割れによって失ってしまった右上の奥歯2本に対してサイナスリフトを併用してインプラント治療を行った症例です。 ( 30代 男性 )

この症例の詳細はこちら




  症例 5 外傷によって失った上の前歯に対してインプラント治療を行ったケース

 治療前                          
 

外傷によって上の前歯が割れてしまい抜かなければならなかったケースです。インプラント治療によって隣の歯を削ることなく、審美的に前歯を回復させることができました。 ( 30代 男性 )

この症例の詳細はこちら




  症例 6 虫歯によって失った下の奥歯に対してインプラント治療を行ったケース

 治療前                           
   

むし歯によって失ってしまった右下の2本の奥歯にインプラント治療を行った症例です。 インプラント治療によってしっかりと咬むことができるようになり、左右でバランスよく咬んで食事をすることができるようになりました。 ( 70代 女性 )




  症例 7 歯周病によって失った下の奥歯に対してインプラント治療を行ったケース

 治療前                           
   

歯周病によって失ってしまった右下の1本の奥歯にインプラント治療を行った症例です。
下の奥歯がなくなると反対側の上の奥歯が下がってきます。その結果、かみ合わせも悪くなり残りの歯に負担がかかってしまいます。
インプラント治療によって奥でも咬むことができるようになり、他の歯へ負担を減らすことができました。 ( 40代 女性 )




  症例 8 むし歯によって失った下の奥歯に対してインプラント治療を行ったケース

 治療前                           
 

むし歯が進行して右下の歯を2本抜かなければならなかった症例です。
入れ歯では違和感が強く使用できなかったため、インプラント治療を行いました。
インプラント治療によって奥でも咬むことができるようになり、違和感なく食事をすることができるようになりました。 ( 50代 男性 )




  症例 9 インプラント治療によって隣の歯を削ることなく審美回復したケース

 治療前                           
 

むし歯が進行して左上の4番目の歯を失ってしまった方です。
ブリッジによる治療では健康な隣の歯を削らなければならないため、インプラント治療を希望されました。
インプラント治療によって隣の歯を削ることなく、審美的に治療することができました。
また、変色していた左右1番前の歯にセラミック治療を行い、さらに審美的に回復しました。
( 30代 女性 )




  症例 10 下の奥歯に対してインプラント治療をして咬めるようになったケース

 治療前                           
     

過去に右下奥歯2本を失い、右側でしっかりと咬むことができなかった方です。
入れ歯ではしっかりと咬めず、違和感が強かったため、インプラント治療を希望されました。
インプラント治療によって右側でもしっかりと咬むことができるようになり、満足して食事をしていただいています。 ( 50代 男性 )




  症例 11 虫歯によって失った下の奥歯に対してインプラント治療を行ったケース

 治療前                           
 

むし歯によって失ってしまった左下の1本の奥歯にインプラント治療を行った症例です。
下の奥歯がなくなると反対側の上の奥歯が下がってきます。その結果、かみ合わせも悪くなり残りの歯に負担がかかってしまいます。
インプラント治療によって奥でも咬むことができるようになり、他の歯へ負担を減らすことができました。 ( 50代 女性 )




  症例 12 上の奥歯にインプラント治療をサイナスリフトを併用して行ったケース

 治療前                           
 

むし歯によって左上奥歯を2本抜かなければならなかった症例です。
入れ歯による治療は他の歯にも負担がかかるため、インプラント治療を希望されました。
上顎の骨の量が少なかったため、サイナスリフトを併用してインプラント治療を行いました。 ( 60代 男性 )

この症例の詳細はこちら






アクセス
Copyright © 2017 徳永歯科 All rights reserved.